La
fisiología es la ciencia que estudia los fenómenos propios de los seres vivos y
las leyes que rigen a estos fenómenos.
La vida es
el resultado de la actividad combinada y armónica de todos los órganos,
aparatos y sistemas, y de las transformaciones energéticas. Tales funciones
tratan de mantener un estado de composición y estructura constantes. Este
estado se denomina homeostasis, es decir, equilibrio orgánico.
Todos los
seres vivos, sean vegetales o animales, tanto si están formados por una sola
célula como si tienen una estructura compleja, siempre funcionan
sinérgicamente: sus órganos se interrelacionan y se complementan para lograr la
armonía de todas las funciones vitales.
LA CELULA.
La célula es
la unidad básica de los seres vivos. Se la puede definir como el último
elemento anatómico y fisiológico capaz de cumplir las funciones vitales de
nacer, crecer, reproducirse y morir.
Todos los
seres vivientes están constituidos por células: una sola en el caso de los
organismos unicelulares o billones como en los organismos superiores. En la
célula ocurren los procesos metabólicos que condicionan el mantenimiento y la
perpetuación de los seres vivos.
La forma de
las diferentes células es extremadamente variable: esférica, ovoide, alargada,
en espiral, poliédrica, fusiforme, discoidal, irregular, etcétera.
Las células
animales están compuestas por una pared celular, un citoplasma y el núcleo.
Describiremos cada uno de estos elementos con sus componentes y funciones.
La célula
eucariota representa el tipo de entidad viviente de mayor complejidad en los
organismos unicelulares, al mismo tiempo constituye la base de la
estructuración de los seres o entidades multicelulares. Su particularidad más
notoria y diferencial es la presencia de la organización nuclear, así como de
orgánulos membranosos que componen el denominado sistema de membranas
intracelulares.
Membrana
plasmática: Se
encuentra adosada a la pared celular y comunica a ésta con el citoplasma. Está
constituida por proteínas y lípidos, fundamentalmente fosfolípidos;
algunas proteínas se combinan con lípidos (lipoproteínas) y otras con carbohidratos
(glucoproteínas). Su función es la de efectuar el intercambio (control de entrada y
salida) de sustancias, pues la membrana plasmática es semipermeable o de
permeabilidad selectiva.
Citoplasma:
Es la parte que rodea al núcleo y donde se cumplen la mayor parte de las
actividades celulares.
Mitocondrias. Son orgánulos citoplasmáticos
membranosos. Presentan distintas formas, pero la más común es la ovoide o
cilíndrica. Están formadas por dos membranas, una interna, plegada a modo de
tabiques (crestas), y otra externa, lisa. Son organoides semiautónomos y
autoduplicables y en su matriz contienen ADN. Estas son consideradas como
verdaderas centrales energéticas, ya que a través de procesos de oxidación de
glúcidos, lípidos y aminoácidos, pasando por CO2 y H2O por la presencia de O2 se
origina ATP que es la unidad energética fundamental para cumplir las funciones
determinadas por la especialización del tejido del que forma parte.
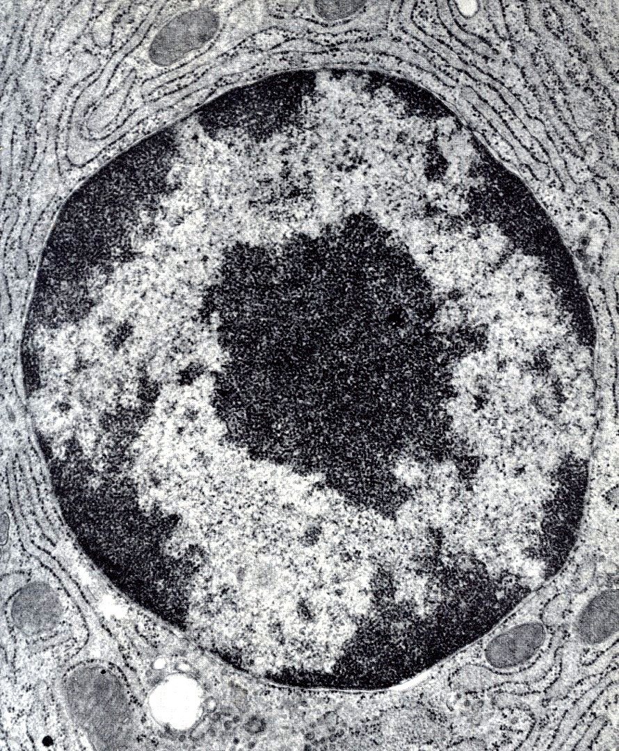
Núcleo: constituye un orgánulo diferencial, es el centro que
rige toda la actividad de la célula. Sus cambios, transformaciones y
características durante la división de la célula, hacen a las eucariotas
recibir la denominación de cariocinéticas (cario = núcleo, cinesis =
movimiento).
Retículo endoplasmático: tiene la apariencia de un laberinto
y está asociado a la del núcleo. Una parte del
retículo está asociada a los ribosomas.
La zona del
retículo asociada a los ribosomas tiene la función de fabricar proteínas y se
denomina retículo endoplasmático rugoso
o granular (RER o REG).
La porción
de retículo libre de ribosomas se denomina retículo endoplasmático liso (REL) y tiene, entre otras, la función de fabricar lípidos.
Ribosomas: son formaciones de proteínas y ácido ribonucleico, encargado de sintetizar proteínas a partir de información genética que les llega.
Ribosomas: son formaciones de proteínas y ácido ribonucleico, encargado de sintetizar proteínas a partir de información genética que les llega.
Complejo
de Golgi: es el encargado del tránsito de las proteínas
que fabrica la célula.
Lisosomas:
actúan en la degradación de las moléculas orgánicas que ingresan a
la célula. A este proceso se lo denomina digestión celular.








No hay comentarios:
Publicar un comentario